Con gli ecografi della linea Voluson™ Expert è possibile erogare cure davvero eccezionali, in modo sicuro ed efficiente, mantenendovi all’avanguardia nella cura della salute femminile. Grazie all’architettura Radiance System Architecture, sono disponibili funzionalità di imaging più veloci e avanzate, unite a efficienza e sicurezza.
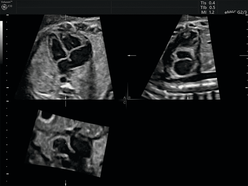
Nuova sonda convex volumetrica a matrice elettronica eM6C G3: questo trasduttore si distingue dalle sonde tradizionali per l’assenza di parti meccaniche in movimento: utilizzando lo steering elettronico di oltre 8000 elementi in matrice convessa consente di eseguire acquisizioni ultraveloci mantenendo una qualità d’immagine eccezionale e, grazie alla modalità “biplane”, permette la visualizzazione in tempo reale di due piani ortogonali in real time, migliorando il workflow e la riproducibilità dell’acquisizione

Radiantflow: algoritmo avanzato che permette di ottenere informazione di altezza e profondità del Color Doppler, Power Doppler e HDFlow™ con visualizzazione in tempo reale 3D Like.

SlowflowHD™: software per lo studio della vascolarizzazione che grazie all’altissima sensibilità è in grado di sopprimere i movimenti a bassa frequenza preservando le informazioni sul flusso.

Slowflow 3D: È possibile abbinare le varie tecnologie Volume Ultrasound integrate nella piattaforma per uno studio approfondito delle strutture vascolari del cervello fetale, dei vasi addominali e in applicazioni ginecologiche, quali lo studio dell’adenomiosi tramite Slowflow 3D.

SonoBiometry: avanzato algoritmo intelligente di riconoscimento e misura delle principali references biometriche del feto.
SonoFHR: avanzato algoritmo intelligente di riconoscimento e misura automatica del ciclo cardiaco in M-Mode e Doppler Pulsato (PW).

SonoCNS: tool semiautomatico per allineare e visualizzare correttamente le scansioni consigliate nei piani TV (trans-ventricolare), TT (trans-talamico), TC (trans-cerebellare), unitamente alle misurazioni del cervello fetale, utilizzando la tecnologia di deep learning GE Healthcare partendo da un’unica acquisizione 3D.
FetalHQ: Soluzione per la quantificazione della deformazione cardiaca fetale. Permette un’analisi dettagliata della velocità del miocardio, del dislocamento, della deformazione e della velocità di deformazione con metodo Speckle Tracking nelle viste dell’asse lungo o corto del ventricolo sinistro ventricolo, del ventricolo destro o nell’atrio sinistro. Permette la valutazione dei parametri di base e quantificazioni avanzate, insieme a risultati completi.

SonoRenderlive™: Tool di intelligenza artificiale che è in grado di riconoscere autonomamente la transizione da tessuto solido a liquido in maniera istantanea sulle tre dimensioni.

HDlive™: tecnologia di rendering del data set volumetrico che genera immagini incredibilmente realistiche del feto.

HDlive™ Silouette: tecnologia che permette aggiungere ai rendering realistici l’effetto trasparenza di tutti i volumi acquisiti (in 3D e 4D) per una migliore visualizzazione delle strutture e degli organi interni.

HDlive™ Studio+: espande le funzioni di già disponibili in HDlive™ offrendo la gestione di tre sorgenti fotometriche luminose indipendenti con tre diversi tipi di luce (direzionale, puntiforme, spot) e presenta una funzione speciale di rappresentazione per visualizzare il liquido amniotico.

HDlive™ Flow e HDlive™ Flow Silhouette: Applica tutte le caratteristiche presenti in HDlive™ e HDlive™ Silhouette al rendering con campionamento di flusso volumetrico Color Doppler, Power e HDFlow™.

Omniview: software per la ricostruzione volumetrica in una direzione selezionata dall’operatore. E’ possibile tracciare le strutture, anche le più pervie, a mano libera sul touch senza alcuna mediazione di mouse o penne. Attiva in tempo Reale e in post processing si 3D che 4D.

Uterine Trace: software per la ricostruzione automatica della cavità uterina.

STIC: Per l’acquisizione 3D del cuore fetale, viene applicato un sofisticato algoritmo per la gestione e soppressione della distorsione causata dal movimento dei tessuti materni e fetali. Le immagini tomografiche sono riorganizzate in base alla fase del ciclo cardiaco e il data set 3D viene generato con solo immagini tomografiche nella stessa fase di ciclo cardiaco.

SonoVCAD Heart: strumento avanzato, basato sulla tecnologia Volume Ultrasound, CHE aiuta nella visualizzazione automatica delle scansione degli outflow cardiaci partendo dal volume data set acquisito. Permette una ricostruzione completa e automatizzata, relativa all’esame cardio fetale seguendo le linee guida delle società scientifiche AIUM, ACOG, ACR e ISUOG.
Semplicemente con due click il sistema è in grado di effettuare l’analisi e proporre le principali proiezioni.

SonoAVC Follicle, Antral e General (Sonography Based Automated Volume Count Analysis): strumento avanzato, basato sulla tecnologia Volume Ultrasound con AI inside, che permette il riconoscimento automatico, semiautomatico ed interattivo dei follicoli

Software ADNEX a bordo macchina per la valutazione del rischio di cancro ovarico secondo le più recenti linee guida internazionali IOTA (International Ovarian Tumor Analysis) per poter fornire un counseling completo alle pazienti con patologia ovarica.

Valutazione del rischio di cancro dell’endometrio e classificazione della rima endometriale in base alle più recenti linee guida internazionali IETA (International Endometrial Tumor Analysis) e IDEA (International Deep Endometriosis Analysis)

SonoPelvicFloor: grazie all’AI, SonoPelvicFloor semplifica il processo dell’esame 3D automatizzando l’allineamento del piano e le misurazioni, offrendo indicazioni sul flusso di lavoro per eliminare l’incertezza e migliorare l’efficienza.
Sarebbe un piacere parlare con te.
Non esitare a contattarci compilando il form qui sotto.